EDGE整形外科

본문 바로가기

EDGE整形外科

본문 바로가기
属于我的
EDGE手术是?

회원로그인

Skin Care

瑞德喜微晶瓷

RADIESSE

促进皮肤生成自体胶原蛋白
可改善皮肤整体状态的
高级动能素

radiesse model img

Surgery Information

瑞德喜微晶瓷是?

Calcium Hydroxylapatite成分的胶原蛋白填充剂。获得美国FDA、欧洲CE和韩国KFDA认证的生物亲和成分可在体内自然分解,
相比同类型产品,钙矿物成分的粘性和弹性上都更为优质,不仅可打造更鲜明的立体感,还能促进胶原蛋白的生成,提高皮肤弹性。

Surgery Product

瑞德喜微晶瓷

radiesse_img01

瑞德喜微晶瓷组成成分

瑞德喜微晶瓷主要作用

01. 再生胶原蛋白和弹性蛋白

通过与纤维芽细胞直接接触后,使成分活性化的同時生成弹性蛋白,可有效帮助维持皮肤弹性厚度

再生胶原蛋白
  • radiesse_img02
  • radiesse_img03
  • radiesse_img04
再生弹性蛋白
  • radiesse_img05

    施术前

  • radiesse_img06

    4个月 后

  • radiesse_img07

    7个月 后

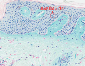
02. 提供蛋白聚糖

通过提供蛋白聚糖,帮助补足紧致感和水分感的同时,也能获得改善皮肤结构的效果。

  • radiesse_img08

    施术前

  • radiesse_img09

    施术后

03. 新血管生成

通过生成新血管,可改善血液循环肌肤的营养补给

CD34平均值(新血管指标)
  • radiesse_img10
04. 皮肤真皮层厚度变化

可对因老化、频繁手术、外部刺激而变薄的皮肤真皮层进行改善

  • radiesse_img11

    施术前

  • radiesse_img12

    四个月后
    (真皮层厚度增加12%)

  • radiesse_img13

    7个月后
    (真皮层厚度增加27%)

瑞德喜微晶瓷粒子特征与分解

以统一大小和表面光滑的粒子形态可有效对纤维芽细胞起到作用,使ECM(细胞外基质)的再生物质生成达到最优化
(粒子呈尖状或不规则时可能会出现炎症反应)

  • radiesse_img14

    瑞德喜微晶瓷
    (25~45um/Microsphere)

  • radiesse_img15

    A产品
    (30~60um/Crystal)

  • radiesse_img16png

    B产品
    (20~80um/不规则的)

分解过程
  • radiesse_img17

    没有受损的 CaHA 微粒子

  • radiesse_img18

    部分分解的 CaHA 微粒子

随着时间的推移,会通过正常的代谢过程慢慢分解成钙离子和磷酸根离子后并被吸收。
在此过程中也能维持球状外形,不会对皮肤造成刺激的同时,展现出了稳定的胶原蛋白再生促进效果

Surgery Effect

瑞德喜微晶瓷效果

  • 01
    促进生成胶原蛋白

    促进胶原蛋白的生成,打造水润光彩肌

  • 02
    改善皱纹

    从中度皱纹到深层皱纹都能有效改善

  • 03
    高黏性和弹性

    高粘度和高弹性可维持施术部位不曼化

  • 04
    有力的立体感

    对鼻子和下巴部位的线条有很强的塑形效果

  • 05
    自然感

    可保持柔软的触感和自然的形状

  • 06
    持久性

    施术后可维持1~2年左右

  • 07
    体内分解

    施术后会在体内慢慢分解后自然吸收

※施术效果可能会根据个人情况而有所差异※

Q&A

瑞德喜微晶瓷 Q&A

  • Q
    瑞德喜微晶瓷安全吗?
    A

    获得国内食品医药品安全处KFDA、
    美国FDA认可、欧洲CE认可的动能素,21年间在美容市场积累使用1500万个 以上,
    持有临床论文200篇以上。

  • Q
    1次推荐用量是多少?
    A

    虽然根据年龄和皮肤弹力程度不同而有差异
    一般推荐1~2针。

  • Q
    效果会持续多久?
    A

    施术部位、用量等均存在个人差
    1次施术时可维持1~2年左右。如想获得 更佳的效果,推荐施术2~3次。

Surgery Region

瑞德喜微晶瓷施术部位

radiesse model img radiesse region model img

Check Point

瑞德喜微晶瓷施术对象

※本图片为模特摄影。手术效果可能会根据个人情况而有所差异※

contact

contact

TEL +82 53-710-7107
道路名地址 大邱中区东城路1路28,4楼
地号地址 大邱中区凤山洞35-1,4楼
平日诊疗

(夜间诊疗)

am 09:30 - pm 9:00

公休日休诊会另行通知

星期六 am 09:30 - pm 5:00

엣지성형외과의원

facebook blog
地址 : 大邱中区东城路1路28,4楼 (凤山洞35-1) 4楼    商号名 : EDGE整形外科
代表 : Choi Dong sik    营业执照号 : 202-65-07909ㅤ   ;TEL : +82-53-710-7107ㅤ   FAX : +82-53-710-8107
Copyright © 2022 EDGE, All right reserved

■ EDGE整形外科个人信息管理方针


EDGE整形外科(http://edge01.co/kr) )非常重视您的个人信息保护,并遵守《个人信息保护法》。

EDGE整形外科通过个人信息处理方针,向您说明为保护您提供的个人信息用会以何种用途和方式运用,正在采取怎样的措施 。
该个人信息处理方针的顺序如下。

1. 收集的个人信息项目及收集方法
2. 个人信息收集及使用目的
3. 个人信息的保留及使用期限
4. 个人信息的销毁程序及其方法
5. 撤回同意/ 注销会员的方法
6. 个人信息自动收集装置的安装/运营及拒绝其的相关事项
7. 个人信息管理负责人

1. 收集的个人信息项目及收集方法


EDGE整形外科在加入会员时, 只会收集为使用服务所需的最低限度的个人信息。
[注册网站会员时的收集项目]
- 必需项目:姓名、用户名、密码、出生年月日、联系方式(电话号码、手机号码)、电子邮件、性别
在使用服务过程或处理提供服务业务的过程中,会自动生成并收集以下信息。
: 服务使用记录、连接日志、 cookie、连接 IP 信息

[个人信息收集方法]
通过以下方法收集个人信息。
官网、书面格式、传真、电话、咨询公告栏、电子邮件

2. 个人信息收集及使用目的


EDGE整形外科将收集的个人信息用于以下目的。
- 履行相关合同提供服务及根据提供的服务结算费用、提供内容
- 会员管理
会员制服务使用过程中的本人确认、个人识别、加入意向确认、防止不良会员非法使用和防止非许可使用、年龄确认、投诉处理等信访处理、传达事项
- 用于营销与广告
传达活动等广告性信息、提供根据人口统计学特点的服务及广告刊登、掌握访问频率或统计会员的服务使用情况

3. 个人信息的保留及使用期限


原则上,个人信息收集及使用目的达成后,将立即销毁相关信息。
但是,根据相关法律法规的规定需保存时,医院会按照相关法律法规规定期限内保存会员信息。
保存项目 : 姓名、用户名、密码、出生年月日、联系方式(电话号码、手机号码)、电子邮件、性别
保存依据 : 医院内部方针
保存期限 : 直到会员退出为止

但是,即使达到收集目的或提供的目的,根据商法等法令的规定有必要保存时,也可保留您的个人信息。
- 消费者投诉或纠纷处理相关记录 : 3年(电子商务等消费者保护相关法律)。
- 信用信息的收集/处理及利用等相关记录 : 3年(信用信息利用及保护相关法律)。
- 本人确认相关记录 : 6个月(信息通信网利用促进及信息保护等相关法律)。
- 访问相关记录 : 3个月(通信秘密保护法)

4. 个人信息的销毁程序及其方法


EDGE整形外科在达成《个人信息的收集及利用目的》后立即销毁。 销毁程序和方法如下。
[销毁程序]
用户为注册会员等输入的信息在达到目的后,根据销毁方法立即销毁。
[销毁方法]
以电子文件形式储存的个人信息将采用无法再读取记录的技术方法删除。
打印在纸上的个人信息将用粉碎机粉碎或销毁。

5. 撤回同意/ 注销会员的方法


귀하는 회원가입 시 개인정보의 수집ㆍ이용 및 제공에 대해 동의하신 내용을 언제든지 철회하실 수 있습니다.
您加入会员时,可以随时撤回同意收集•利用及提供个人信息的内容。
注销会员时,点击EDGE整形外科网站我的主页的"注销会员",经过本人确认程序后直接注销会员,或者向个人信息管理负责人通过书面、电话或Fax等方式联系,会立即采取个人信息的销毁等必要措施。
根据国民健康保险法,为向健康保险审查评价院提交申请疗养补助费用的诊疗记录
为进行统计•学术研究,必要时加工成无法辨认特定个人的形态后提供
根据法令规定的程序和方法的调查机关有要求时提交等

6. 个人信息自动收集装置的安装/运营及拒绝其的相关事项


EDGE整形外科有运用随时储存并查找您信息的"cookie"
Cookie是用于运营EDGE整形外科网站的服务器发送给您的浏览器的一个非常小的文本文件,存储在您的计算机硬盘中。
EDGE整形外科为以下目的使用Cookie。
您对Cookie的安装有选择权。因此,您可以通过在浏览器中设置选项来允许所有Cookie,或者每次Cookie保存时都要确认,或者拒绝保存所有Cookie。
会员拒绝安装Cookie时,将难以提供部分服务。

7. 个人信息管理负责人


为了保护您的个人信息,处理个人信息相关的不满,EDGE整形外科设有以下个人信息管理负责人。

[个人信息管理负责人]
姓名 : 최동식
职位 : 院长
所属 : EDGE整形外科医院
电话号码 : (053)-710-7107
电子邮箱 : edge0501@naver.com

您可以将在EDGE整形外科服务时发生的所有个人信息保护相关投诉,向个人信息管理负责人进行申报。
EDGE整形外科将对用户的申报事项迅速给予充分的答复。
其他需要个人信息侵害举报或咨询时,请咨询以下机构。
个人纠纷调解委员会(http://www.1336.or.kr /1336)
信息保护标志认证委员会 (http://www.eprivacy.or.kr / (02) 580-0533~4)
大检察厅网络犯罪调查团 (http://www.spo.go.kr / (02) 3480-3573)
警察厅网络反恐中心 (http://www.ctrc.go.kr / (02) 392-0330)

■ 拒绝擅自收集电子邮箱地址
请注意,拒绝利用电子邮件收集程序或其他技术装置擅自收集本网站上公布的电子邮件地址,如果违反,将根据《信息通信网法》进行刑事处罚。

■ 影像信息处理设备运营管理方针


EDGE整形外科(以下简称"本院")通过影像信息处理设备的运营、管理方针
对本院处理的影像信息以何种用途和方式被利用和管理进行说明。

该影像信息处理设备的运营、管理方针的顺序如下。

1. 影像信息设备的安装依据及安装目的
2. 安装台数、安装位置及拍摄范围
3. 管理责任人及访问权限人
4. 影像信息的拍摄时间、保管期限、保管场所及处理方法
5. 影像信息处理设备的安装及管理等委托相关事项(仅限适用时)
6. 个人影像信息的确认方法及场所的相关事项
7. 信息主体的影像信息阅览及要求措施
8. 确保影像信息安全的措施
9. 个人信息处理方针变更相关事项

1. 影像信息设备的安装依据及安装目的


本院根据个人信息保护法第25条第1项,以以下目的设置并运营影像信息处理设备。
- 设施安全及预防火灾
- 为顾客安全的犯罪预防

2. 安装台数、安装位置及拍摄范围


- 安装台数 : 32台
- 安装位置及拍摄范围:待机室、走廊、手术室、诊疗室等

3. 管理责任人及访问权限


- 管理负责人 : 최동식 [职位 : 院长, 所属 : EDGE整形外科, 联系方式:(053)-710-7107]
- 访问权限人 : 최동식 [职位 : 院长, 所属 : EDGE整形外科, 联系方式:(053)-710-7107]

4. 影像信息的拍摄时间、保管期限、保管场所及处理方法


- 拍摄时间 : 24小时
- 保管期 : 从拍摄日起30天
- 保管场所 : 院长研究室
- 处理防范
: 对以个人影像信息使用的目的、由第三方提供、销毁、阅览等要求事项记录,保管期限结束时以无法复原的方法永久删除
(※ 对于打印物,应进行粉碎或销毁。 )

5. 影像信息处理设备的安装及管理等委托相关事项(仅限适用时)


本院委托如下影像信息处理设备的设置及管理等,根据相关法令,在签订委托合同时,为了个人信息的安全管理,规定了必要的事项。
- 受托企业 : 에스원(세콤)
- 负责人 : 신용훈
- 联系方式:1588-3112。

6. 个人影像信息的确认方法及场所的相关事项


- 确认方法 : 提前联系视频信息管理负责人,访问本院即可确认。
- 确认场所 : 院长研究室

7. 信息主体的影像信息阅览及要求措施


如果您希望阅览或确认、删除个人影像信息,可以随时向影像信息处理设备运营者提出要求。
但是,仅限于拍摄到本人的个人影像信息,及明确的信息内容对生命、身体、财产利益所需的个人影像信息。
对本院要求阅览或确认存在、删除个人影像信息时,会立即采取必要措施。

8. 确保影像信息安全的措施


本院处理的影像信息会通过加密等措施安全管理。
另外,本院作为个人影像信息的管理性对策,分等级赋予对个人信息的访问权限,为了防止个人影像信息的伪造、变造,会对个人影像信息的生成日期、阅览时的阅览目的、阅览者、阅览时间等进行记录管理。
此外,为了个人影像信息的物理保管安全,还设置了锁闭装置。

9. 个人信息处理方针变更相关事项


该影像信息处理设备的运营、管理方针于2020年05月01日制定,根据法力、政策或补充技术的变更,如有追加、删除及修改内容,将在施行前7天通过本院网站或院内公告公布变更事由及内容等。
- 公告日期:2020年05月01日
- 施行日期:2020年05月01日

■ 엣지성형외과 이용약관


이 약관은 엣지성형외과가 제공하는 서비스 이용조건 및 절차에 관한 사항과 기타 필요한 사항을 전기통신사업법 및 동법 시행령이 정하는 대로 준수하고 규정함을 목적으로 합니다.

제1조(목적 등)


① 엣지성형외과의원(http://edge01.co.kr) 이용자 약관(이하 "본 약관"이라 합니다)은 이용자가 엣지성형외과에서 제공하는 인터넷 관련 서비스(이하 "서비스"라 합니다)를 이용함에 있어 회원과 엣지성형외과의 권리·의무 및 책임 사항을 규정함을 목적으로 합니다.
② 회원이 되고자 하는 자가 엣지성형외과에서 정한 소정의 절차를 거쳐서 "등록하기" 단추를 누르면 본 약관에 동의하는 것으로 간주합니다. 본 약관에 정하는 이외의 회원과 엣지성형외과의 권리, 의무 및 책임 사항에 관해서는 전기통신사업법 기타 대한민국의 관련 법령과 상관습에 의합니다.

제2조(회원의 정의)


"회원"이란 엣지성형외과에 접속하여 본 약관에 따라 엣지성형외과 온라인 회원으로 가입하여 엣지성형외과가 제공하는 서비스를 받는 자를 말합니다.

제3조 (회원 가입)


① 회원이 되고자 하는 자는 엣지성형외과 정한 가입 양식에 따라 회원 정보를 기입하고 "등록하기" 단추를 누르는 방법으로 회원 가입을 신청합니다.
② 엣지성형외과는 제1항과 같이 회원으로 가입할 것을 신청한 자가 다음 각 호에 해당하지 않는 한 신청한 자를 회원으로 등록합니다.
1. 가입 신청자가 본 약관 제6조 제3항에 의하여 이전에 회원자격을 잃은 적이 있는 경우. 다만 제6조 제3항에 의한 회원자격 상실 후 3년이 경과한 자로서 엣지성형외과의 회원 재가입 승낙을 얻은 경우에는 예외로 합니다.
2. 등록 내용에 허위, 기재 누락, 오기가 있는 경우
3. 기타 회원으로 등록하는 것이 엣지성형외과의 기술상 현저히 지장이 있다고 판단되는 경우
③ 회원 가입 계약의 성립 시기는 엣지성형외과의 승낙이 가입신청자에게 도달한 시점으로 합니다.
④ 회원은 제1항의 회원정보 기재 내용에 변경이 발생한 경우, 즉시 변경사항을 정정하여 기재하여야 합니다.

제4조(서비스의 제공 및 변경)


① 엣지성형외과는 회원에게 아래와 같은 서비스를 제공합니다. 
1. 엣지성형외과 뉴스 메일 서비스 
2. 엣지성형외과 온라인 상담실 /예약 이용 서비스 
3. 엣지성형외과 온라인 회원을 위한 섹션 및 컨텐츠 서비스 
4. 기타 엣지성형외과가 타 업체와 제휴해서 제공하는 각종 서비스 
② 엣지성형외과은 그 변경될 서비스의 내용 및 제공 일자를 제7조 제2항에서 정한 방법으로 회원에게 통지하고, 제1항에 정한 서비스를 변경하여 제공할 수 있습니다.

제5조(서비스의 중단)


① 엣지성형외과은 컴퓨터 등 정보통신설비의 보수점검·교체 및 고장, 통신의 두절 등의 사유가 발생한 경우에는 서비스의 제공을 일시적으로 중단할 수 있고, 새로운 서비스로의 교체 기타 엣지성형외과가 적절하다고 판단하는 사유에 기하여 현재 제공되는 서비스를 완전히 중단할 수 있습니다.
② 제1항에 의한 서비스 중단의 경우에는 엣지성형외과은 제7조 제2항에서 정한 방법으로 회원에게 통지합니다. 다만, 엣지성형외과가 통제할 수 없는 사유로 인한 서비스의 중단(시스템 관리자의 고의, 과실이 없는 디스크 장애, 시스템 다운 등)으로 인하여 사전 통지가 불가능한 경우에는 그러하지 아니합니다.

제6조(회원 탈퇴 및 자격 상실 등)


① 회원은 엣지성형외과에 언제든지 자신의 회원 등록을 말소해 줄 것(회원 탈퇴)을 요청할 수 있으며, 엣지성형외과은 위 요청을 받은 즉시 해당 회원의 회원 등록 말소를 위한 절차를 밟습니다.
② 회원이 다음 각 호의 사유에 해당하는 경우, 엣지성형외과은 회원의 회원자격을 적절한 방법으로 제한 및 정지, 상실시킬 수 있습니다.
1. 가입 신청 시에 허위내용을 등록한 경우 
2. 다른 사람의 엣지성형외과 사이트 이용을 방해하거나 그 정보를 도용하는 등 전자거래 질서를 위협하는 경우 
3. 엣지성형외과을 이용하여 법령과 본 약관이 금지하거나 공서양속에 반하는 행위를 하는 경우 

제7조(회원에 대한 통지)


① 엣지성형외과가 특정 회원에 대해 통지를 하는 경우 엣지성형외과에 등록한 메일주소로 할 수 있습니다.
② 엣지성형외과가 불특정 다수 회원에 대해 통지를 하는 경우 1주일 이상 엣지성형외과 게시판에 게시함으로써 개별 통지에 갈음할 수 있습니다.

제8조(회원의 개인정보보호)


엣지성형외과은 관련 법령이 정하는 바에 따라서 회원 등록정보를 포함한 회원의 개인정보를 보호하기 위하여 노력합니다. 회원의 개인정보보호에 관해서는 관련 법령 및 엣지성형외과가 정하는 "개인정보보호 정책"에 정한 바에 의합니다.

제9조(엣지성형외과의 의무)


① 엣지성형외과은 법령과 본 약관이 금지하거나 공서양속에 반하는 행위를 하지 않으며 본 약관이 정하는 바에 따라 지속적이고, 안정적으로 서비스를 제공하기 위해서 노력합니다.
② 엣지성형외과은 회원이 안전하게 인터넷 서비스를 이용할 수 있도록 회원의 개인정보(신용정보포함)보호를 위한 보안 시스템을 구축합니다.
③ 엣지성형외과은 회원이 원하지 않는 영리 목적의 광고성 전자우편을 발송하지 않습니다.

제10조(회원의 ID 및 비밀번호에 대한 의무)


① 엣지성형외과가 관계 법령, "개인정보보호 정책"에 의해서 그 책임을 지는 경우를 제외하고, 자신의 ID와 비밀번호에 관한 관리책임은 각 회원에게 있습니다.
② 회원은 자신의 ID 및 비밀번호를 제3자에게 이용하게 해서는 안 됩니다.
③ 회원은 자신의 ID 및 비밀번호를 도난당하거나 제3자가 사용하고 있음을 인지한 경우에는 바로 엣지성형외과에 통보하고 엣지성형외과의 안내가 있는 경우에는 그에 따라야 합니다.

제11조(회원의 의무)


① 회원은 다음 각 호의 행위를 하여서는 안 됩니다.
1. 회원 가입 신청 또는 변경 시 허위내용을 등록하는 행위 
2. 엣지성형외과에 게시된 정보를 변경하는 행위 
3. 엣지성형외과 기타 제3자의 인격권 또는 지적재산권을 침해하거나 업무를 방해하는 행위
  4. 다른 회원의 ID를 도용하는 행위 
5. 정크메일(junk mail), 스팸메일(spam mail), 행운의 편지(chain letters), 피라미드 조직에 가입할 것을 권유하는 메일, 외설 또는 폭력적인 메시지·화상·음성 등이 담긴 메일을 보내거나 기타 공서양속에 반하는 정보를 공개 또는 게시하는 행위
6. 관련 법령에 의하여 그 전송 또는 게시가 금지되는 정보(컴퓨터 프로그램 등)의 전송 또는 게시하는 행위 
7. 엣지성형외과의 직원이나 엣지성형외과 인터넷 서비스의 관리자를 가장하거나 사칭하여 또는 타인의 명의를 도용하여 글을 게시하거나 메일을 발송하는 행위 
8. 컴퓨터 소프트웨어, 하드웨어, 전기통신 장비의 정상적인 가동을 방해, 파괴할 목적으로 고안된 소프트웨어 바이러스, 기타 다른 컴퓨터 코드, 파일, 프로그램을 포함하고 있는 자료를 게시하거나 전자우편으로 발송하는 행위 
9. 스토킹(stalking) 등 다른 회원을 괴롭히는 행위 
10. 다른 회원에 대한 개인정보를 동의 없이 수집, 저장, 공개하는 행위 
11. 불특정 다수의 자를 대상으로 하여 광고 또는 선전을 게시하거나 스팸메일을 전송하는 등의 방법으로 엣지성형외과의 서비스를 이용하여 영리 목적의 활동을 하는 행위 
12. 엣지성형외과가 제공하는 서비스에 정한 약관 기타 서비스 이용에 관한 규정을 위반하는 행위
② 제1항에 해당하는 행위를 한 회원이 있을 경우 엣지성형외과은 본 약관 제6조 제2, 3항에서 정한 바에 따라 회원의 회원자격을 적절한 방법으로 제한 및 정지, 상실시킬 수 있습니다.
③ 회원은 그 귀책 사유로 인하여 엣지성형외과 또는 다른 회원이 입은 손해를 배상할 책임이 있습니다.

제 12조 (공개 게시물의 삭제)


회원의 공개 게시물의 내용이 다음 각 호에 해당하는 경우 엣지성형외과은 회원에게 사전 통지 없이 해당 공개 게시물을 삭제할 수 있고, 해당 회원의 회원자격을 제한, 정지 또는 상실시킬 수 있습니다.
1. 다른 회원 또는 제3자를 비방하거나 중상모략으로 명예를 손상시키는 내용 
2. 공서양속에 위반되는 내용의 정보, 문장, 도형 등을 유포하는 내용 
3. 범죄행위와 관련이 있다고 판단되는 내용 
4. 다른 회원 또는 제3자의 저작권 등 기타 권리를 침해하는 내용 
5. 광고성 또는 상업적 목적이 두드러진 경우 
6. 기타 관계 법령에 위배된다고 판단되는 내용 

13조(저작권의 귀속 및 이용 제한)


① 엣지성형외과가 작성한 저작물에 대한 저작권 기타 지적재산권은 엣지성형외과에 귀속합니다.
② 회원은 엣지성형외과을 이용함으로써 얻은 정보를 엣지성형외과의 사전승낙 없이 복제, 전송, 출판, 배포, 방송 기타 방법에 의하여 영리 목적으로 이용하거나 제3자에게 이용하게 하여서는 안 됩니다.

제14조(상담에 관한 규정)


① 서비스에서 진행된 상담의 내용은 개인 신상정보를 삭제한 다음 아래와 같은 목적으로 사용할 수 있습니다.
 1) 학술 활동
 2) 진료 활동
 3) 의료서비스
 4) 인쇄물, CD-ROM 등의 저작 활동
 5) FAQ, 추천 상담 등의 서비스 내용의 일부 

제15조(약관의 개정)


① 엣지성형외과은 약관의 규제 등에 관한 법률, 전자거래기본법, 전자서명법, 정보통신망 이용촉진 등에 관한 법률 등 관련법을 위배하지 않는 범위에서 본 약관을 개정할 수 있습니다.
② 엣지성형외과가 본 약관을 개정할 경우에는 적용 일자 및 개정 사유를 명시하여 현행약관과 함께 초기화면에 그 적용 일자 7일 이전부터 적용 일자 전날까지 공지합니다.
③ 엣지성형외과가 본 약관을 개정할 때는 그 개정약관은 개정된 내용이 관계 법령에 위배되지 않는 한 개정 이전에 회원으로 가입한 회원에게도 적용됩니다.
④ 변경된 약관에 이의가 있는 회원은 제6조 제1항에 따라 탈퇴할 수 있습니다.

제16조(재판관할)


엣지성형외과와 회원간에 발생한 서비스 이용에 관한 분쟁으로 인한 소는 민사소송법상의 관할을 가지는 대한민국의 법원에 제기합니다.

부 칙 
이 약관은 2011년 06월 28일을 시작으로 새로운 약관이 나오기 전까지 사용한다.